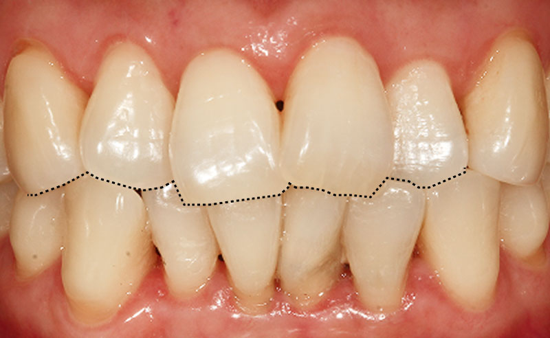
손상된 형태 · 비율 복구
닳아서 짧아진 치아 •
Before
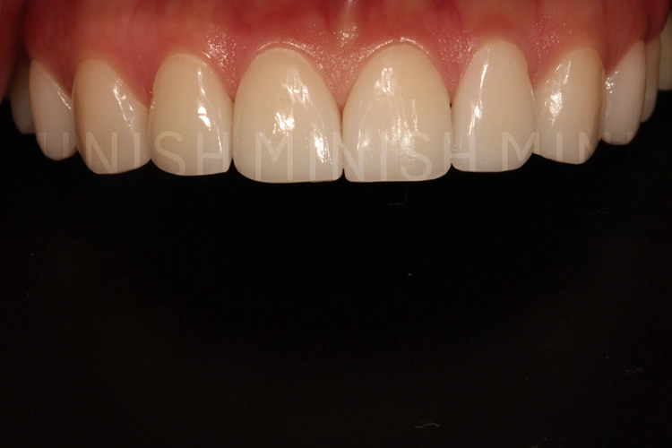
After
• 미니쉬 라인 적용후
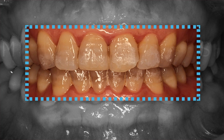
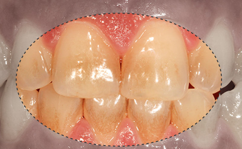
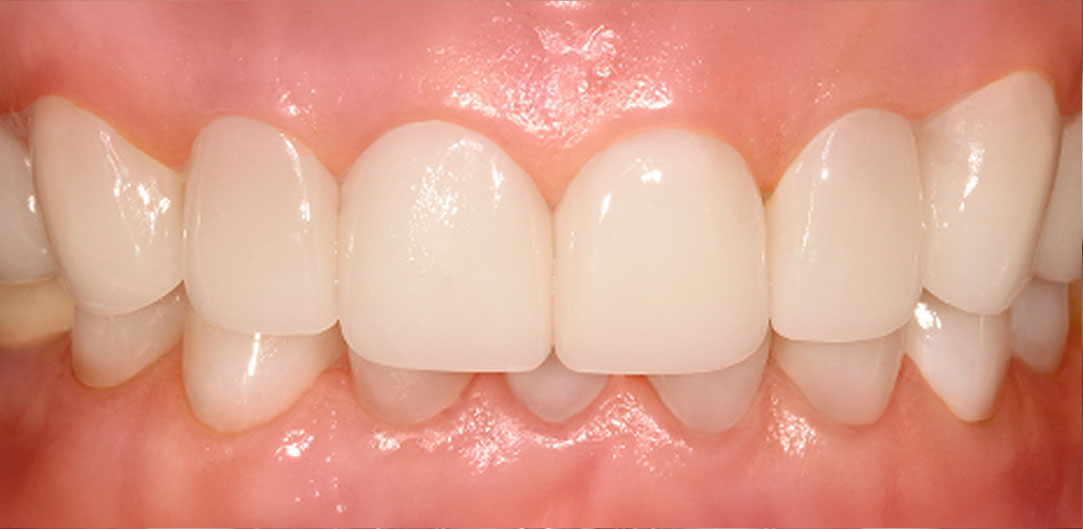
손상된 색상 복구
변색된 치아 •
Before
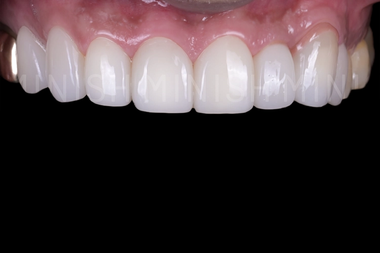
After
• 미니쉬 라인 적용후
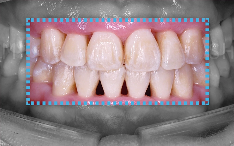
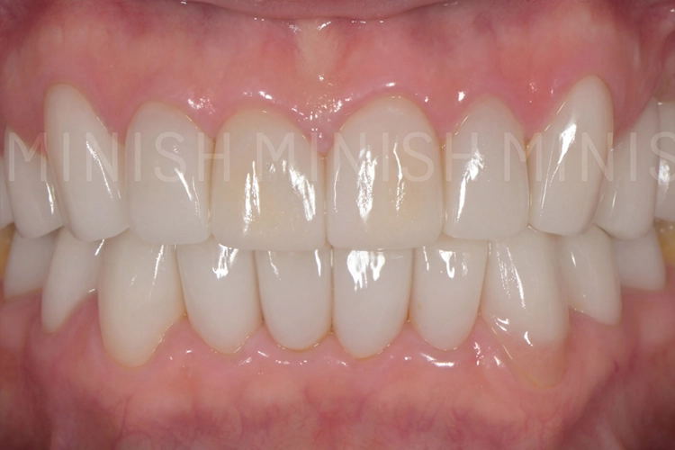
손상된 배열 복구
틀어진 치아 •
Before
After
• 미니쉬 라인 적용후
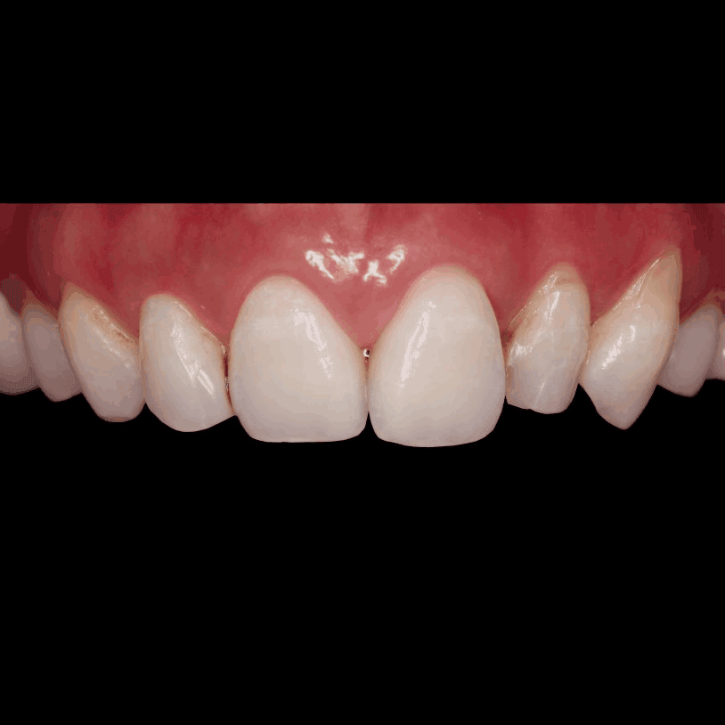
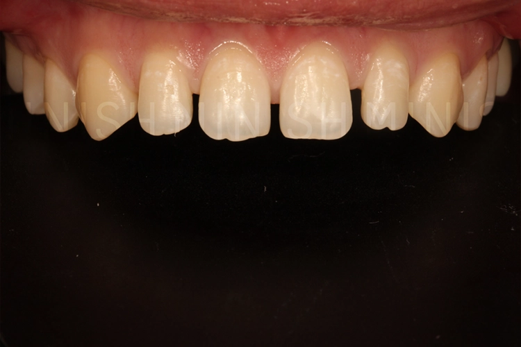
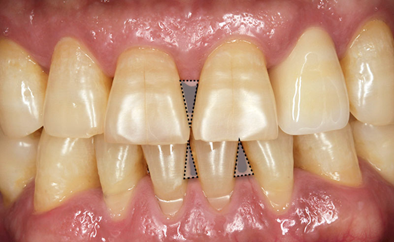
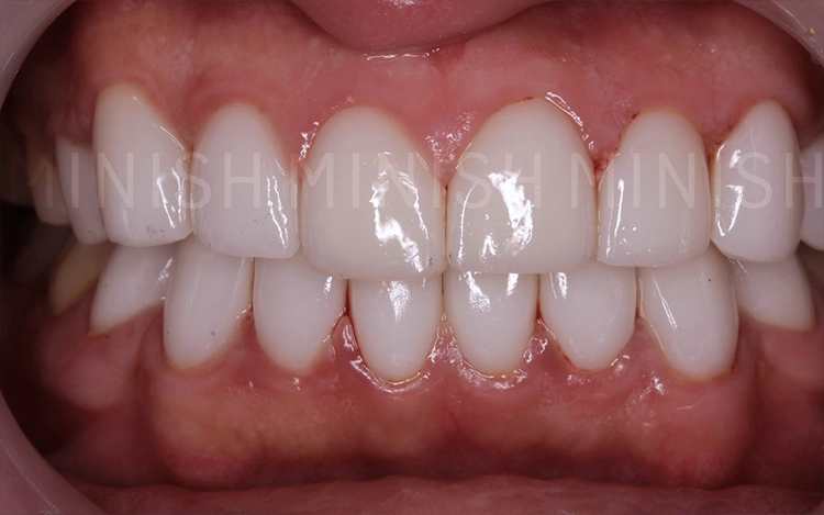
벌어진 치아 •
Before
After
• 미니쉬 라인 적용후
혹시, 교정을
고민하고 계신가요?
교정은 1~3년을 기다려도
치아 배열만 가지런하게 바꿔줍니다.
교정은 오히려
이런 일들이 생기기도 합니다.
교정 중 충치
치간 삭제로 인해 생기는 충치
교정 후 회귀
회귀 → 다시 돌아가려는 성질
유지장치
평생 착용해야하는 불편함
결국 교정은
형태, 색상, 비율, 질감까지
해결해주지 않습니다.
교정의 한계 01
교정의 한계 02
교정의 한계 03
지금 이런 고민을
하고 계신가요?
- 빠르게 결과를 보고 싶은 분
- 철길 교정이 두렵거나 싫은 분
- 결혼식·면접 등 중요한 날이 있는데 교정은 너무 긴 분
- 교정 후에도 색상·모양이 여전히 아쉬운 분
미니쉬 라인은
배열, 색상, 모양, 질감, 크기, 비율까지
6가지를 한번에 개선합니다.
미니쉬 라인으로
변화된 모습을
확인하세요.
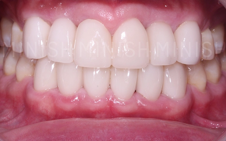
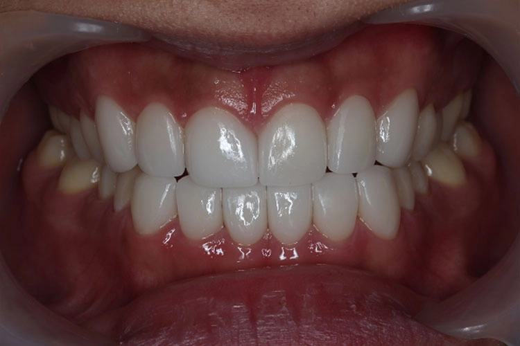
case 01. 틀어진 치아 형태, 배열 개선
case 01
틀어진 치아 형태, 배열 개선
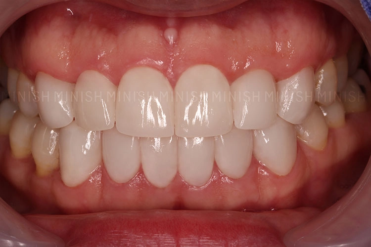
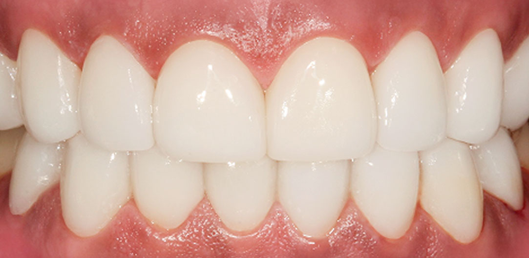
case 02. 벌어진 치아 형태, 비율 개선
case 02
벌어진 치아 형태, 비율 개선
case 03. 덧니 및 변색 개선
case 03
덧니 및 변색 개선
case 04. 토끼치아 및 배열 개선
case 04
토끼치아 및 배열 개선
case 05. 심한 치아 벌어짐과 교합 개선
case 05
심한 치아 벌어짐과 교합 개선

