치아를 지키다

미니쉬 하다

미니쉬테크놀로지 전속모델 다샤타란

미니쉬테크놀로지 전속모델 다샤타란

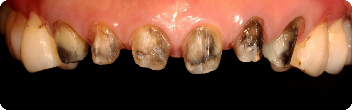
본 영상은 미니쉬를 제공받은 병원의 임상 적용 사례입니다.

치아가 예뻐졌나요?

아니, 건강해졌습니다.

잘 생각해 보면... 건강하면 예뻐요.

치아를 건강한 원래 상태로 되돌리는 게 바로 미니쉬입니다.
쉽게 말해 미니쉬는 깨지고, 닳고, 썩고 손상된 치아를 건강한 치아로 돌리는 거예요.
건강해지는 건데 자꾸 예쁘다고만 해서 너무 답답합니다.

사실 15년 전에는

삭제량이 적은 심미목적의 치료였습니다.

한국에서 한창 라미네이트 붐이었을 때죠.
심지어 급속교정이라며 신경치료 후 크라운을 할 정도였죠.
부작용도 정말 많았습니다. 시리고, 아프고, 충치 생기고…

선릉에서 오늘안치과를 운영하며 그런 환자분들의 부작용 치료를 정말 많이 했습니다.
부작용을 치료하다 보니 ‘어떻게 하면 치아를 덜 깎으면서 예쁘게 할 수 있을까’ 라는
고민을 할 수밖에 없었습니다.

그런데 라미네이트와 달리 몇 년이 지나도 부작용이 안 생겼습니다.

왜 부작용이 없는지 연구해 보니...

정밀하고 자연치아와 성질이 유사한 재료이기 때문입니다.

치아치료의 부작용은 크게 2가지예요.

세균감염, 충치, 변색

세균 침투로 인해 변색된 크라운 속 치아

기존의 크라운, 라미네이트, 레진 등 거의 대부분은 제작과정 중에 변형이 발생합니다.
즉, 치아와 완벽하게 맞지 않는다는 뜻이고 그 틈새로 세균이 침투하게 됩니다.
하지만 미니쉬는 기존과는 다른 제작과정을 가지고 있고, 과정 중에 변화가 생기지 않습니다.
디지털로 스캔한 치아와 최종 만들어진 미니쉬가 완벽하게 맞으니 틈새가 생기지 않는 것입니다.

다른 치아를 망가뜨림

치아가 닳아서 드러난 상아질

이런 재료들은 지나치게 단단하고 경도가 높습니다.
즉, 자기만 멀쩡하고 맞닿는 치아를 닳게 만드는 것입니다.
치아가 닳고 치아의 겉면이 없어지면 시린 증상이 나타나면서 치아의 노화가 급속도로 진행됩니다.

하지만 미니쉬의 재료,미니쉬블록은 자연치아와 매우 유사합니다.
나만 살아남고 맞닿는 치아를 닳게 만드는 게 아니라 자연의 시간표에 맞게 함께 닳는 것입니다.

부작용 없음 확인 후,

어금니까지... 성공!

2018년도에 미니쉬치과병원으로 확장하고 부작용이 없는 근거가 생기니 어금니에 미니쉬를 시도해 봤습니다.
앞니의 3배 힘을 받는 어금니를 과연 잘 복구할 수 있을까 반신반의했습니다.

본 이미지는 당시 미니쉬치과병원에서 진행한 어금니 미니쉬의 임상 적용 사례입니다.

8년 동안 지켜보니 결과는 “문제없다” 였습니다.
자연치아와 완전한 한 덩어리로 만들어 치아 전체 두께를 회복시키면 깨지지 않는다는
제 이론이 맞는 순간이었습니다.

학회 발표 후 치과의사들의 교육 코스 요청

2018년, GAMEX(경기도 치과의사회)에서 처음으로 실제 임상적용 사례를 보여주고 미니쉬의 생체모방이론,
과학적 근거들을 치과의사들에게 발표했습니다.
감사하게도 발표를 들었던 몇몇 원장님에게 교육 코스를 요청받았습니다.
그때는 치과를 운영하다 보니 교육 코스를 짜고 정기적인 강연, 실습을 하기 어려운 상황이었습니다.

사람을 뽑고 교육 프로그램을 운영하려 사무업무를 하다 보니 병원만으로는 한계가 있었습니다.
결국, 미니쉬를 더 업그레이드하고 교육, 전파하기 위해 회사를 차리게 되었습니다.
그 회사가 지금의 미니쉬테크놀로지입니다.

정식 미니쉬 교육 코스 : 미니쉬 코스 출범

21년도 3월 1회 미니쉬 코스를 시작으로 벌써 11회차가 되었습니다.
미니쉬 코스에서는 미니쉬에 대한 모든 것을 가르칩니다.

등, 그리고 자연치아를 평생 쓰게 하겠다는 미니쉬의 가치를 공유합니다.
미니쉬 코스를 듣고 나면 미니쉬크루 라는 호칭과 함께 미니쉬 생태계에 들어올 수 있는 자격이 됩니다.

미니쉬크루들이 일하는 치과 : 미니쉬생태계

미니쉬를 하는 미니쉬생태계 병원들은 크게 5가지 타입으로 분류됩니다.
이 병원들을 통틀어 MINISH Provider(미니쉬 프로바이더)라 합니다.

지금 한국의 의료시스템은 대형병원에만 환자가 몰립니다.
감기 환자들이 대형병원을 가게 되면 큰 수술을 받아야 하는 분들은 갈 곳이 없죠.
미니쉬생태계에서는 환자분들은 적절한 치료를 받을 수 있는 병원에 가고
의사들은 진료에만 집중할 수 있는 시스템을 만들어갑니다.

Type 1

소형병원_이살리는치과

· 전국 접근성 좋은 곳에 분포
· 예방과 정기관리 및 기본 치료 중심

협력 병원
1,000개 목표

Type 2

중형 병원

· 지역 내 종합적인 치과 진료 서비스 제공
· 여러 명의 의사가 협업하며, 교정과 임플란트 등
일부 전문 진료가 포함

25년 3월 기준
협력 병원 35개

→ 서울 30개, 경기 13개,
대전 1개 등

Type 3

치과 대형병원_미니쉬치과병원

· 광역권별 1개 거점, 총 5곳 계획
· 고난도 치료 수행
· 임상연구와 의사수련 및 교육

협력 병원
5개 목표

Type 4

전문병원_미니쉬치과의원

· 특정 치료 분야(신경치료, 임플란트, 교정, 미니쉬)에 특화
· 전문성 및 진료의 질 높음
· 생태계 병원으로부터 환자 리퍼 받아 마케팅 비용 최소화

협력 병원
100개 목표

Type 5

해외병원

· 지역 내 종합적인 치과 진료 서비스 제공
· 여러 명의 의사가 협업하며, 교정과 임플란트 등
일부 전문 진료가 포함

25년 3월 기준
12개 설립

→ 일본 10개, 북미 2개

Type 1 : 이살리는치과

발치, 임플란트, 교정을 하지 않고 예방·정기 관리, 충치 및 치주, 미니쉬 위주의
동네에서 쉽게 찾아갈 수 있는 병원
이살리는치과 선릉점 진료실
이살리는치과 선릉점 진료실 2

Type 2 : 중형병원

종합적인 치과 치료가 제공되는 중형병원

Type 3 : 고난이도 치료 대형병원

난이도 높은 미니쉬, 임플란트, 특수교정 치료 수행

Type 4 : 전문병원

미니쉬, 임플란트, 신경치료, 교정 특정 분야에 특화된 병원

Type 5 : 해외 의료특구병원_발리 & 하이난(건설 중)

한국의 치과 기술이 해외에서 초청되어 설립된 의료특구에서도 근무가능
미니쉬테크놀로지가 직접 운영하는 해외 병원

미니쉬를 할 수 있는 MINISH Provider의 증표 :
명패와 인증서

미니쉬 코스를 수료하고 정식으로 미니쉬생태계에 들어오면, 병원에는 명패가 발급되고
환자분들에게는 미니쉬 정품 인증서가 발급됩니다.

정품 인증서 확인은 QR코드를 통해 확인할 수 있으며, 해당 인증서가 있어야
최대 10년까지 보증을 받을 수 있습니다.

→ 곧 15년 동안 문제가 없다는 게 증명되면 보증기간을 15년으로 늘릴 생각입니다.

개인정보 처리방침

주식회사 미니쉬테크놀로지는 고객 문의사항 접수 및 답변을 위해 아래와 같이 개인정보를 수집, 이용합니다.

  • 목적: 고객 문의사항 접수 및 답변
  • 항목: 이름, 직급, 부서, 회사명, 연락처(휴대전화 번호 또는 유선 전화번호, 이메일 주소)
  • 보유 기간: 수집일로부터 1년

서비스 이용에 필요한 최소한의 수집 및 이용에 동의하지 않을 수 있으나, 동의를 거부할 경우 서비스 이용에 제한이 있을 수 있습니다.